Dental-disorders

Oral Surgery, Oral Medicine, Oral Pathology and Oral Radiology: Published: October, 2023Dental extraction is the most common oral surgical procedure in the worldwide population. Similarly, antiplatelet therapy (APT) is considered 1 of the most prescribed therapies due to the high worldwide prevalence of ischemic and cardiovascular diseases.Pati...
Oral Diseases Journal: September. 2023This study was aimed to evaluate the safety and benefit of short-term application of hydroxychloroquine in the management of atrophic/erosive/ulcerative oral lichen planus (OLP).TAKE-HOME MESSAGEIn this study, after 4 weeks of treatment, the systemic use of hydroxychloroquine and the topical use of dexameth...
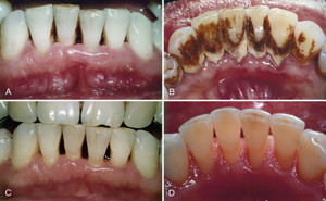
American Journal of Orthodontics and Dentofacial Orthopedics: Published: August 29, 2023TAKE-HOME MESSAGEThis study showed that, in patients with fixed orthodontic appliances, twice weekly use of 0.12% chlorhexidine (CHX) mouthwash reduced the plaque, gingival, and gingival bleeding indexes when evaluated at 15, 30, and 60 days of protocol imp...
Journal of Clinical Medicine: Published on November 2022Periodontitis is an inflammatory disease of multifactorial origin, characterized by periods of exacerbation and remission. The main etiological factors for the disease include gram-negative anaerobic bacteria and a variety of facultative bacteria that reside in the subgingival biofilm.Var...
International Journal of Paediatric Dentistry: Published April 2022 Dental caries is the most common global oral health concern and is remarkably prevalent in children. Early childhood caries (ECC) is a prevailing chronic condition affecting the primary dentition, resulting in partial or gross destruction of the teeth.TAKE-HOME MESSAGEIn this...
Journal of Endodontics: Published on February, 2023TAKE-HOME MESSAGEThis systematic review of 38 studies and meta-analysis of 31 studies reported that, among patients with maxillary sinusitis, the overall prevalence rate of maxillary sinusitis of odontogenic origin (MSOO) was 51% per sinus and 50% per patient. The following dental conditions sh...
Journal of Oral and Maxillofacial Surgery: Odontogenic infections are a common problem in dentistry, and their treatment often requires the use of antibiotics besides the removal of the source of infection, which frequently makes it more difficult for clinicians to make a decision regarding the choice of antibiotic. The pathogenesis...
International Journal of Dentistry: Odontogenic infections are one of the most prevalent diseases worldwide and the principal reason for seeking dental care. Dental prescriptions account for nearly 7% to 11% of all common antibiotic prescriptions. The commonest emergency odontogenic infections are periapical abscess (25%), pericoron...